門診預約
我需要矯正嗎
我是大人
我是小孩
牙齒健康大解密
美齒見證
診所環境
醫療項目
醫療團隊
關於安曼
我需要矯正嗎?
首頁
我需要矯正嗎?
我是大人
你的牙齒形狀又是哪一個呢?
WHICH IS YOUR TOOTH
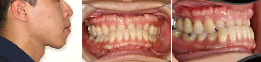
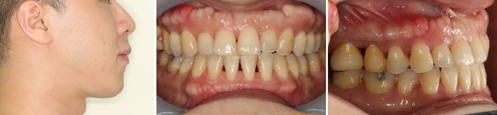
您的牙齒就是「反咬」
聲明: 本所療程皆由專業醫生評估後,依照個人口腔狀況進行治療。因每位患者個別狀況不同,術後狀況也不盡相同,需親來本所由醫生評估。
關閉
矯正洽詢
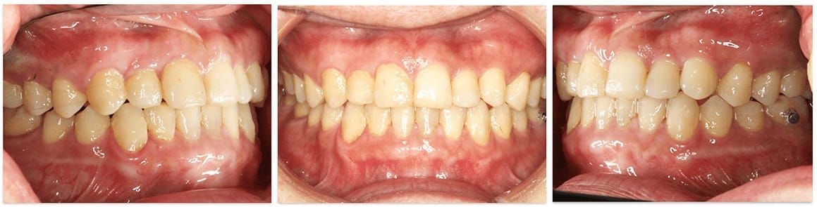
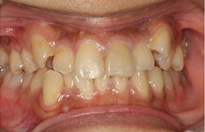
您的牙齒就是「牙齒排列不整齊」
聲明: 本所療程皆由專業醫生評估後,依照個人口腔狀況進行治療。因每位患者個別狀況不同,術後狀況也不盡相同,需親來本所由醫生評估。
關閉
矯正洽詢
您的牙齒就是「開咬」
聲明: 本所療程皆由專業醫生評估後,依照個人口腔狀況進行治療。因每位患者個別狀況不同,術後狀況也不盡相同,需親來本所由醫生評估。
關閉
矯正洽詢
您的牙齒就是「門牙有縫」
聲明: 本所療程皆由專業醫生評估後,依照個人口腔狀況進行治療。因每位患者個別狀況不同,術後狀況也不盡相同,需親來本所由醫生評估。
關閉
矯正洽詢
您的牙齒就是「排列擁擠」
聲明: 本所療程皆由專業醫生評估後,依照個人口腔狀況進行治療。因每位患者個別狀況不同,術後狀況也不盡相同,需親來本所由醫生評估。
關閉
矯正洽詢